
중국에서 유행 중인 마이코플라스마 폐렴, 일명 '중국 신종 폐렴'이 한국에서도 유행 조짐을 보이고 있습니다. 최근 질병관리청의 표본감시 결과에 따르면, 10월 29일부터 11월 4일까지의 기간 동안 세균성 급성호흡기감염증으로 입원한 환자 174명 중 96.6%가 마이코플라스마 폐렴 세균에 감염된 것으로 확인됐습니다.

중국 페렴 혹은 마이코플라즈마 폐렴(Mycoplasma pneumoniae)균은 미코플라스마속에 속하는 세균으로, 세포벽을 가지지 않는 다형성의 매우 작은 세균입니다. 이 세균은 호기성으로, 크기가 약 0.2~0.3마이크로미터 정도로 매우 작고, 증식 속도도 비교적 느립니다.
마이코플라즈마 폐렴 세균은 비정형 폐렴중에서 가장 흔한 형태로 소아나 젊은 성인에서 발견되며 마이코플라즈마 폐렴은 자연치유되는 경우가 많지만 급성호흡부전증후군 및 사망에 이르는 경우가 드물게 보고되고 있습니다.
마이코 플라즈마 폐렴 증상

특징: 마이코플라즈마 폐렴 세균은 전자현미경으로 관찰할 때 불규칙한 모양을 보이며, 그람 염색이 제대로 나타나지 않습니다.
병리: 이 세균은 비말을 통해 사람 간에 전파되며, 호흡기 상피세포의 섬모에 달라붙어 감염을 일으킵니다. 이로 인해 섬모가 손상되고, 면역계의 과민반응으로 만성 천식과 같은 호흡기 질환으로 발전할 수 있습니다.
중국 폐렴 (마이코플라즈마 폐렴) 증상






마이코플라스마 폐렴 세균은 주로 호흡기 증상을 일으킵니다. 이 질병의 특징적인 증상은 다음과 같습니다.
발열: 경미한 발열이 발생할 수 있으며, 때로는 38도 이상의 고열을 동반할 수도 있습니다.
기침: 마이코플라스마 폐렴의 가장 흔한 증상 중 하나로, 주로 건조한 기침이지만, 진행됨에 따라 가래를 동반할 수 있습니다.
인후통: 목이 아프고, 목에 통증이나 자극감이 느껴질 수 있습니다.
두통: 마이코플라스마 폐렴 세균에 감염되면 두통을 경험할 수 있습니다.
피로감: 일반적인 피로감이나 쉽게 지치는 증상이 나타날 수 있습니다.
근골격계 증상: 일부 환자에서는 근육통이나 관절통과 같은 근골격계 증상이 나타날 수 있습니다.
호흡기 외 증상: 드물게 피부 발진이나 위장관 증상(예: 구토, 설사)이 나타날 수 있습니다.
마이코플라스마 폐렴은 일반적으로 증상이 경미하거나 중간 정도이며, 대부분의 환자들은 적절한 치료를 받음으로써 회복합니다. 하지만 어린이, 노인, 기존의 호흡기 또는 면역계 질환이 있는 사람들에게는 심각한 증상이 나타날 수 있으므로 주의가 필요합니다.
마이코플라즈마 폐렴 진단 및 치료
진단
임상 증상 및 병력 평가: 환자의 증상 (기침, 발열, 인후통 등)과 병력을 평가합니다. 마이코플라즈마 폐렴은 종종 경미한 증상으로 시작하지만, 시간이 지남에 따라 악화될 수 있습니다.

혈액 검사: 일반적인 감염의 징후를 확인할 수 있습니다.

특정 항체 검사: 마이코플라즈마 폐렴세균에 대한 항체의 존재를 확인할 수 있습니다.

PCR (Polymerase Chain Reaction) 검사: 이 검사는 Mycoplasma pneumoniae의 DNA를 검출하여 진단하는 데 사용됩니다.

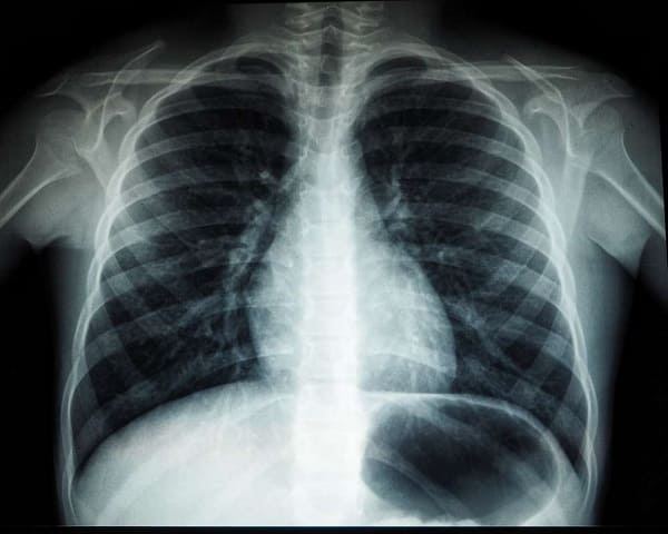
흉부 X-레이 또는 컴퓨터 단층촬영(CT): 폐의 상태를 확인하고 다른 유형의 폐렴과 구별합니다.
치료
항생제 치료: 마이코플라즈마 폐렴에 대한 만족할 만한 백신은 개발되지 않았으며 마이코플라즈마 폐렴은 세포벽이 없어 일반 항생제와 해열제에 잘 반응하지 않습니다.
마크로라이드 계열 항생제(예: 아지스로마이신, 클래리스로마이신, 에리스로마이신)로 치료합니다.



테트라사이클린 계열(예: 독시사이클린) 또는 퀴놀론 계열(성인의 경우) 항생제도 효과적일 수 있습니다.



대증 치료: 해열제와 기침 억제제를 사용하여 증상을 완화합니다. 충분한 휴식과 수분 섭취를 권장합니다.
중증 환자 관리: 중증도가 높은 환자는 입원 치료가 필요할 수 있습니다.호흡 곤란이나 산소 포화도 저하가 있는 환자에게는 산소 요법이 필요할 수 있습니다.
내성 문제: 일부 마이코플라즈마 폐렴균은 항생제에 대한 내성을 가질 수 있어, 치료가 효과가 없는 경우 다른 항생제로 전환해야 할 수도 있습니다.
마이코플라즈마 폐렴의 진단과 치료는 환자의 개별적인 증상과 건강 상태에 따라 달라질 수 있습니다. 따라서 의심되는 증상이 있는 경우 적절한 진단과 치료를 위해 의료 전문가와 상의하는 것이 중요합니다.
중국 폐렴 확산 현황






태국: 2022년 12월, 태국에서 라마 10세의 장녀인 파차라키티야파가 이 세균에 감염되어 의식불명에 빠진 사건이 발생했습니다.
중국과 대한민국: 2023년 10월, 중국에서 대규모 감염 사태가 발생했으며, 이어 대한민국에서도 11월 초반까지 168명이 입원하는 등의 사례가 발생했습니다. 이 사태는 코로나 19의 악몽을 상기시키는 반응을 불러일으켰습니다.
최근 중국에서 마이코플라스마 폐렴 세균 감염 사례가 급증하고 있으며, 특히 어린이들이 주로 영향을 받고 있다는 보고가 있습니다. 이 감염은 전년 대비 두 배 이상 증가하여 호흡기 감염의 약 80%를 차지하고 있으며, 주로 5세 이상의 어린이들에게서 발생하지만, 5세 미만의 어린이들에서도 발생하고 있다고 합니다.
COVID-19 팬데믹 영향: 지난 3년간 COVID-19 팬데믹 예방 및 통제 조치로 호흡기 질환 발생이 감소했으나, 이로 인해 특히 어린이들의 면역력이 저하된 것으로 보입니다.
예방 및 통제 조치 조정: COVID-19 예방 및 통제 조치의 조정으로 인해 올해 마이코플라스마 폐렴 감염이 이전 3년에 비해 크게 증가할 것으로 예상됩니다.
조기 발생 및 확산: 올해 마이코플라스마 폐렴 세균의 발생 및 확산이 예년보다 일찍 시작되어, 7월과 8월에 이미 절정에 달했습니다.
증가하는 환자 수: 상하이 어린이 의료 센터에서는 거의 400명의 어린이가 마이코플라스마 폐렴으로 입원했습니다. 베이징의 소아 병원에서도 학기 시작 이후 마이코플라스마 폐렴으로 인한 호흡기 증상을 보이는 어린이 환자가 급증했습니다.
증가세: 8월 27일 이후 중국 폐렴, 마이코플라스마 폐렴 환자가 지속적으로 증가하고 있으며, 11월 4일까지 누적 환자 수는 총 2471명에 달합니다.
특징: 주로 5~9세 아동에게서 많이 나타나며, 38도 이상의 고열과 심한 기침, 가래가 섞인 기침이 3~4주간 지속되는 것이 특징입니다. 일반 항생제와 해열제에 잘 반응하지 않습니다.
대응 상황
의료계의 대책 마련 요구: 국내 소아청소년과 전문의들은 관련 대책 마련이 시급하다는 입장입니다. 중증 환자는 주로 입원하며, 단순 감염 환자는 외래에서 약물 치료를 받고 있어, 확진자 수가 폭증할 우려가 있습니다.
약물 내성 문제: 매크로라이드계 항생제에 대한 내성률이 80%에 달해, 치료가 어려운 상황입니다. 내성균에 사용할 수 있는 약물들이 있지만, 마이코플라스마 폐렴에 대한 사용 허가가 없어 이를 쓰기 어려운 상태입니다.
대응 필요성
대체약물 사용 허가 확대 요구: 아동병원협회는 내성균에 사용되는 대체약물 사용 허가기준을 확대할 필요성을 강조하고 있습니다.
예방 및 치료대책 요구: 의약품 수급을 포함한 선제적 치료대책의 필요성이 제기되었습니다.
질병관리청의 입장






유행 주기: 마이코플라스마 폐렴은 4년 혹은 4~7년 주기로 국내에서 유행하는 경향이 있으며, 2019년 10월에는 입원환자가 670명까지 보고된 바 있습니다.
위중도 평가: 현재 상황은 코로나19만큼의 위중도는 아니라고 평가하고 있으나, 증가세를 지켜보는 중입니다.
이러한 상황에서 한국의 의료계와 질병청은 마이코플라스마 폐렴의 유행에 대비하여 적절한 대응책을 마련해야 할 필요성이 커지고 있습니다. 내성균에 효과적인 치료제의 사용 허가 확대와 함께, 전염병 확산 방지를 위한 예방 대책이 중요해지고 있습니다.
기침, 천식에 좋다고? 오미자 효능 부작용 활용법
오미자(五味子)는 오미자나무의 열매로, 주로 한국, 중국, 러시아의 덩굴식물에서 나옵니다. 이 열매의 독특한 점은 다섯 가지의 기본 맛을 모두 가지고 있다는 것입니다. 단맛, 짠맛, 신맛, 쓴맛
helloworldkor.tistory.com
비염에 좋은 작두콩차 효능 작두콩 효능 부작용
안녕하세요 오늘은 여러분의 건강을 지켜줄 특별한 차, '작두콩차'에 대해 소개하려고 합니다. 작두콩 이란? 이름: 작두콩의 학명은 Canavalia ensiformis로 한국에서 이 콩의 이름은 그 모양이 '작두'
helloworldkor.tistory.com
중국 폐렴, 마이코플라즈마 폐렴 감염은 전 세계적으로 주의가 필요한 상황임을 나타냅니다. 예방과 조기 진단, 적절한 치료가 중요하며, 개인 위생과 건강 관리에 각별히 유의해야 할 필요가 있습니다.